Hemiparesis in a Pekingese dog, myelogram interpretation

An 8 years old , male, 6,4 kg (overweight), Pekinese was presented because of inability to bare weight on the right front and hind limb. The owner reported that the problem started one month ago with less severe presentation - occasional stumbling and knuckling on the right front leg. There was also occasional painful vocalization with change in the body posture. Gradually, the condition deteriorated to a non-ambulatory status for the last 4 days. No response to NSAIDs and steroids, prescribed by the referring vet, was found.
Clinical exam:
During the neurological examination we found:
- serious proprioceptive deficits with both right limbs,
- the muscle tone of the hind limb provided some weight baring, but such was missing in right front leg; the same leg`s exam revealed decreased withdraw and extensors reflexes and mild muscle atrophy;
- normal reflexes in the right hind leg.
- the neurological status on the contralateral left limbs was normal, except decreased hopping reflex in front one
- iIntact deep pain sensation was present in all four limbs
- no pain was elicited during neck manipulation and digital spinal compression
- mental status and cranial nerve reflexes were considered normal
- normal urine voiding was reported by the owner.
Considering the examination findings, c
ould you suggest the localization of the lesion, before further diagnostic tests?
a) cervical lesion, C1- C5, on the right
b) C6 - T2, on the right
c) C6 - T2, on the right
d) thoracic lesionT3 - L3, on the right
e) central brain lesion, on the left
f) right brachial nerve plexus
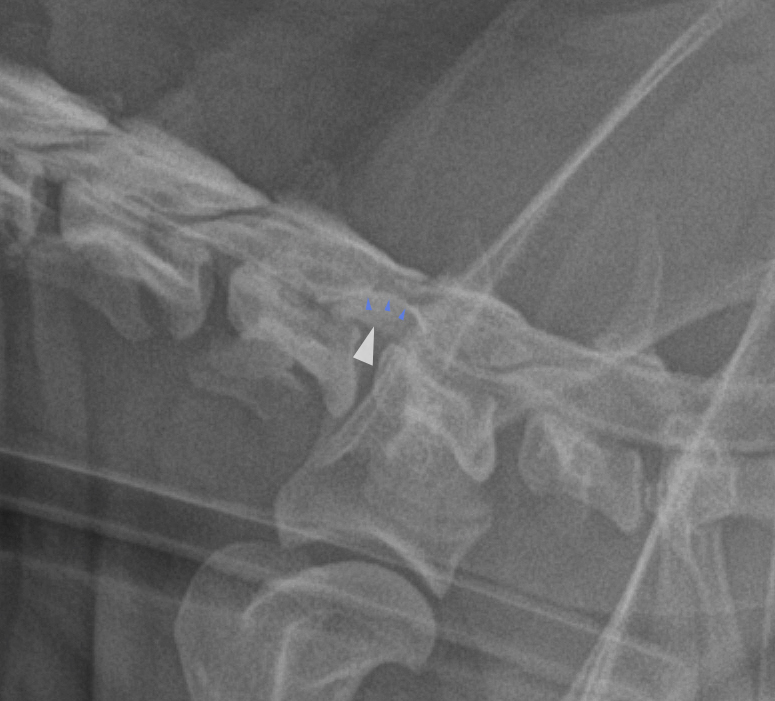
A plain radiograph of the cervical spine was done. The only abnormality noticed was moderate narrowing of C5-C6 disc space.
A cysternal myelography was performed, because a cervical compression was suspected.
The lateral myelograms revealed good contrast flow through the cervical area, but a ventral “double column” sign was visible at C5-C6. There was mild widening of the “myelon" at C5-C6 space on the ventrodorsal view and mild contrast thinning on the right.


What would be your interpretation in this case:
a) Non-diagnostic myelogram, needs further imaging
b) Extradural spinal neoplasia, at the right C5 - C6 space
c) Meningioma (dural) neoplasia at C5 - C6
d) Intramedullary spinal neoplasia C5 - C6
e) Extradural spinal compression, caused by IVDD- Hansen II, right lateralised disc protrusion C5-C6
f) Fibrocartilagenous embolism lesion at the level of caudal cervical region
Show right diagnosis and suggested treatment (only for VOG-Members)
3 Responses to Case 004 - Hemiparesis in a Pekingese dog
Leave a reply
Your email address will not be published.

